Watabe won Ruka Tour with fractured costal cartilage
Aug 31, 2018·Nordic Combined
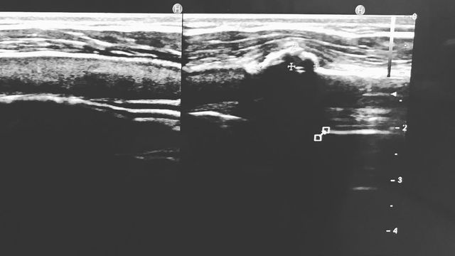
A belated surprise for Japanese Akito Watabe: after an ultrasonography examination at the Japan Institute of Sports Sciences, the 29-year-old received the diagnosis that he actually set his first World Cup victory of the season and won the new Ruka Tour with a fracture of his costal (rib) cartilage.
Watabe had injured himself in a training accident on the cross-country track in Ruka a few days before the World Cup Opener when crashing in a downhill section and hitting an ice block hidden under the snow on the side of the track with his chest. The broken cartilage was not visible on an x-ray Watabe obtained at the hospital in Finland.
While Watabe reported severe pains during and after the races, he still managed to achieve top results with sheer willpower and even had to go through another crash when Norway’s Jørgen Graabak fell right before him in a downhill section in Sunday’s race in Ruka.
He commented the news with “Don’t worry, it’s already four weeks old now. Please rest assured that the recovery is going well” on his twitter page.
肋軟骨骨折でした。既に4週経過していますし、回復は順調のようなので、ご安心ください👍 pic.twitter.com/olUbRlyHku
— Akito Watabe 渡部暁斗 (@WTBAKT) December 19, 2017



